Osteochondritis Dissecans (OCD) is a lesion of subchondral bone. The knee, ankle, and elbow are the most commonly effected joints. These can occur in both children and adults; however, there are more favorable outcomes in children and adolescents. They are more common in young athletes with open physes. OCD lesions are a common source of pain and dysfunction in children and adolescents 10-20 years old. They are most commonly found on the medial femoral condyle.
These can be treated both surgically and non-surgically depending on the severity and stability of the lesion. Patients with open physes and stable lesions should be treated initially with rest, activity restrictions, anti-inflammatories, and pain modalities. Nonsurgical treatments can also include bracing, cast immobilization, and weight bearing limitations.
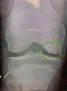
Surgical management is indicated when nonsurgical management fails, in unstable lesions, or when loose bodies are present. When surgery is done for these lesions the goal is maintain articular cartilage congruity, repair the defect, and fix unstable fragments. Figure 1 shows a young soccer athlete with an OCD lesion and Figure 2 shows the lesion healed 6 months after in situ fixation.

Figure 1

Figure 2







